Our Blog: Smile Stories & Expert Insights
Welcome to the Mermaid Smiles blog, where modern dental care meets a soothing sanctuary. Discover expert advice, smile makeovers, and wellness tips curated to help you feel confident, informed, and cared for – every step of the way.

Top Teeth Whitening Tips for a Radiant, Confident Smile
Introduction A bright, white smile can significantly boost your confidence and enhance your overall appearance. It is often one of

Busting 7 Shocking Myths About Tooth Extractions
Introduction Picture this: you’re sitting in the dentist’s chair, heart racing, palms sweaty, dreading the words “tooth extraction.” It’s a

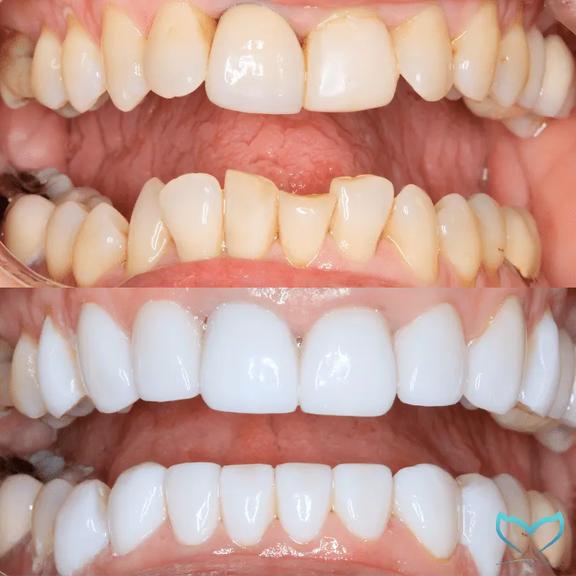
Transform Your Smile with Veneers Everything You Should Know
Introduction Your smile is one of the first things people notice about you, and it plays a crucial role in

Veneers vs. Teeth Whitening: Which Is Right for You?
Introduction In this blog post, we’re here to shed light on a crucial aspect of your smile. A radiant and

Dental Health for Athletes: Protecting Your Teeth on the Field
Introduction Did you know that in Australia nearly 40 percent of dental injuries are from sports-related injuries? Imagine the impact

A Comprehensive Guide to Proper Oral Hygiene
A bright smile is more than just a sign of good looks; it’s a gateway to overall health and well-being.
Enjoy a Positive Dental Experience !
* Any surgical or invasive procedure carries risks. Before proceeding, you should seek a second opinion from an appropriately qualified health practitioner.